
Tratamientos
"Atención Integral en Todas las Especialidades Odontológicas para Adultos."
Urgencias 24h en Tlalnepantla.
Soluciones dentales para recuperar la función y estética de su sonrisa.
Pérdida de dientes


Diente impactado
Extracción cuidadosa de dientes impactados para proteger su salud bucal.


Infección dental
Tratamiento oportuno para eliminar infecciones y aliviar molestias.


Manchas en los dientes
Procedimientos para mejorar la apariencia y brillo natural de su sonrisa.



Tratamiento efectivo para eliminar caries y proteger sus dientes.
Caries


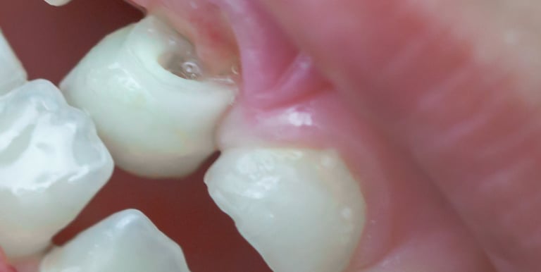
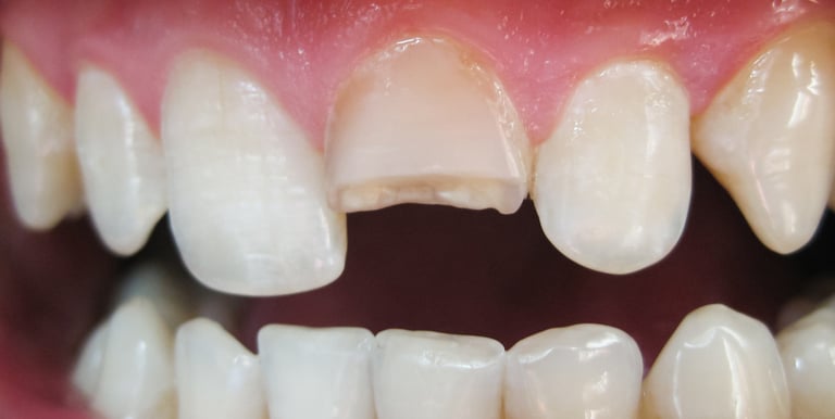
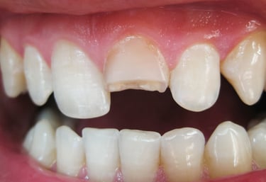
Fracturas dentales
Cuidado de dientes fracturados para proteger su sonrrisa.


Dientes desalineados
Evaluación profesional para mejorar la alineación y la mordida.


Dolor de muelas
Diagnóstico preciso para aliviar el dolor y tratar su causa.

Un cirujano dentista excepcional, muy cuidadoso. Brinda la mejor atención personalizada y es especialista en odontología integral. La verdad, lo recomiendo ampliamente. Soy su paciente desde hace muchísimo tiempo. Siempre está actualizado y ofrece excelentes precios.
Ana R.
★★★★★


Lo que dicen nuestros pacientes
Contacto
Estamos aquí para ayudarte con tu sonrisa
Teléfono
dr.edwin2009@hotmail.com
55 5435 7369
© 2026 Dr. Edwin Hernández Marín. Atención Dental Integral para Adultos | Urgencias 24/7. Nota: No se aceptan aseguradoras ni pagos a meses sin intereses.Todos los derechos reservados. | Diseñado por Tania Web Impulsa Mx
5362 2816
